Logo oficial Congresso 2026.jpg

   Programação Científica   

          Programação científica com foco na realidade dos Pequenos e Médios Laboratórios e seus profissionais, com temas de relevância técnica, administrativas para aprendizagem, conhecimento e reciclagem. 

   Cursos Pré Congresso - 19 de Setembro(quinta feira)   

 Curso Pré Congresso 1 - Dia 19/09 - 14:00h as 18:00h  - Auditório Guanabara 

Marcos Fleury.jpg

Dr. Marcos Fleury

Phd em Hematologia

UFRJ

 

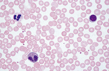
Automação em Hematologia: Gráficos e Flags do Hemograma, uma ferramenta que você precisa dominar.

     Em constante mudança tecnológica, a Hematologia avança em todos os seus
segmentos. A análise do sangue periférico durante as últimas décadas tem sido realizada por sistemas automatizados que apresentam maior precisão dos resultados e em um menor intervalo de tempo que as técnicas manuais. Entretanto, com todo o avanço tecnológico, a análise sanguínea ainda é necessária e imprescindível. A excelência tecnológica dos contadores hematológicos apontam informações importantes através dos gráficos e duvidas (flags) na identificação de células tornando a microscopia mais direcionada, necessária e insubstituível para a realização de um hemograma de qualidade e satisfatório.

 

 Curso Pré Congresso 2 - Dia 19/09 - 14:00h as 18:00h  - Auditório Minas Gerais 

Márcia Magalhães.jpeg

Dra Márcia Magalhães

Farmacêutica Especilista em Gestão

 

Do Planejamento Estratégico a Inteligência Artificial: Recursos inovadores na Gestão do Laboratório

 

O curso oferece uma oportunidade para oos profissionais de laboratório aprofundarem seus conhecimentos em Planejamento Estratégico e Inovação. Na era digital, liderar um laboratório clínico significa ir além de um Planejamento Estratégico bem estruturado, integrando inovações e tecnologias emergentes, como a Inteligência Artificial (IA).Serão abordados aspectos vitais, desde a formulação de estratégias que se alinham com tendências globais até a aplicação prática da IA, mostrando como essas práticas podem revolucionar a gestão de laboratórios, promovendo uma gestão mais estratégica e alcançando a excelência operacional através da inovação. Prepare-se para guiar sua organização rumo ao futuro da saúde, elevando a eficiência, qualidade e competitividade no atual mercado dinâmico.

 

 Curso Pré Congresso 3 - Dia 19/09 - 14:00h as 18:00h - Auditório Rio de Janeiro 

Junia e Marta.jpg

Dra Junnia Alvarenga de Carvalho Oliveira e Dra Marta Maria Caldeira Cabral

Especialistas em Microbiologia

 

Como Otimizar a Urocultura no Laboratório de Pequeno e Médio Porte

 

Como otimizar o exame mais solicitado em Microbiologia nos Pequenos e Médios Laboratórios,  aliando técnicas e custos acessíveis. A bacterioscopia e suas aplicações na rotina microbiológica. Recursos e formas de realizar Urinocultura com qualidade. Avaliação dos meios disponíveis no mercado. O Antibiograma de acordo com a regulamentação Anvisa.

   Cursos Pré Congresso - 20 de Setembro(sexta feira)   

 Curso Pré Congresso 4 - Dia 20/09 - 08:00h as 12:00h  - Auditório Guanabara 

Marcos Fleury.jpg

Dr. Marcos Fleury

Phd em Hematologia

UFRJ

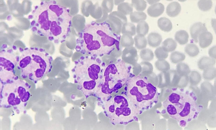
Principais Neoplasias Hematológicas com repercussão no Hemograma

 

     O profissional moderno que se interessa pela hematologia laboratorial enfrenta cada vez mais o desafio de filtrar e extrair informações sobre um determinado assunto. O hemograma é fundamental nesse contexto, pois é através dele que se faz a suspeita inicial de uma neoplasia hematológica. O conhecimento das expressões celulares no sangue periférico levanta indícios para se averiguar a necessidade de testes mais específicos para confirmar o diagnóstico e o prognóstico de doenças neoplásicas do tecido hematopoiético.

 Curso Pré Congresso 5 - Dia 20/09 - 08:00h as 12:00h  - Auditório Minas Gerais 

Silvania Ramalho.jpeg

Silvânia Ramalho

CRF-MG

Perspectiva e Novos Negócios no Laboratório com a RDC 786

 

Como manter a sustentabilidade de seu Laboratório atendendo as normas e exigências de legislação e do mercado laboratorial. Como diversificar as atividades e negócios dentro de seu laboratório:

Vacinas - Associação das Melhores Práticas durante a Padronização

Laboratório de Apoio Regional: Associativismo e Sustentabilidade

Novos Negócios em Tempos de Transformação

 Curso Pré Congresso 6  - Dia 20/09 - 08:00h as 12:00h  - Auditório Rio de Janeiro 

RICARDO FREDERICO.jpeg

Dr Ricardo Frederico Silveira

Especialista em Microbiologia

 

Porque devo realizar a  Microbiologia Básica em meu Laboratório

O curso demonstra a viabilidade técnica e financeira de se fazer a Microbiologia Básica no próprio laboratório e desta forma ter o controle, agilidade e rentabilidade com a microbiologia. Serão abordados as técnicas e recursos diagnósticos dos exames microbiológicos de urina(urinocultura), fezes(coprocultura), sangue(hemocultura), análise bacterioscópica de secreção vaginal e antibiogramas. Serão  analisados alguns dos materiais disponíveis no mercado sob o viés de qualidade e custo, demonstrando a viabilidade de se realizar estes exames sem terceirização.

 Curso Pré Congresso 7  - Dia 20/09 - 08:00h as 12:00h  - Auditório São Paulo 

Dra Maria Rita

Farmacêutica especialista em Urinálise

 

Urinálise: Saiba tudo sobre o exame de Urina

 

Preparação e Interferências pré analíticas para os exames de urina. Saiba tudo dos aspectos relevantes da rotina de urina e exames complementares, desde a análise macroscópica, passando pelos testes físico-químicos e elementos anormais, até o dismorfismo eritrocitário. Como elaborar o laudo laboratorial agregando informações relevantes para o clínico no diagnóstico e acompanhamento laboratorial.

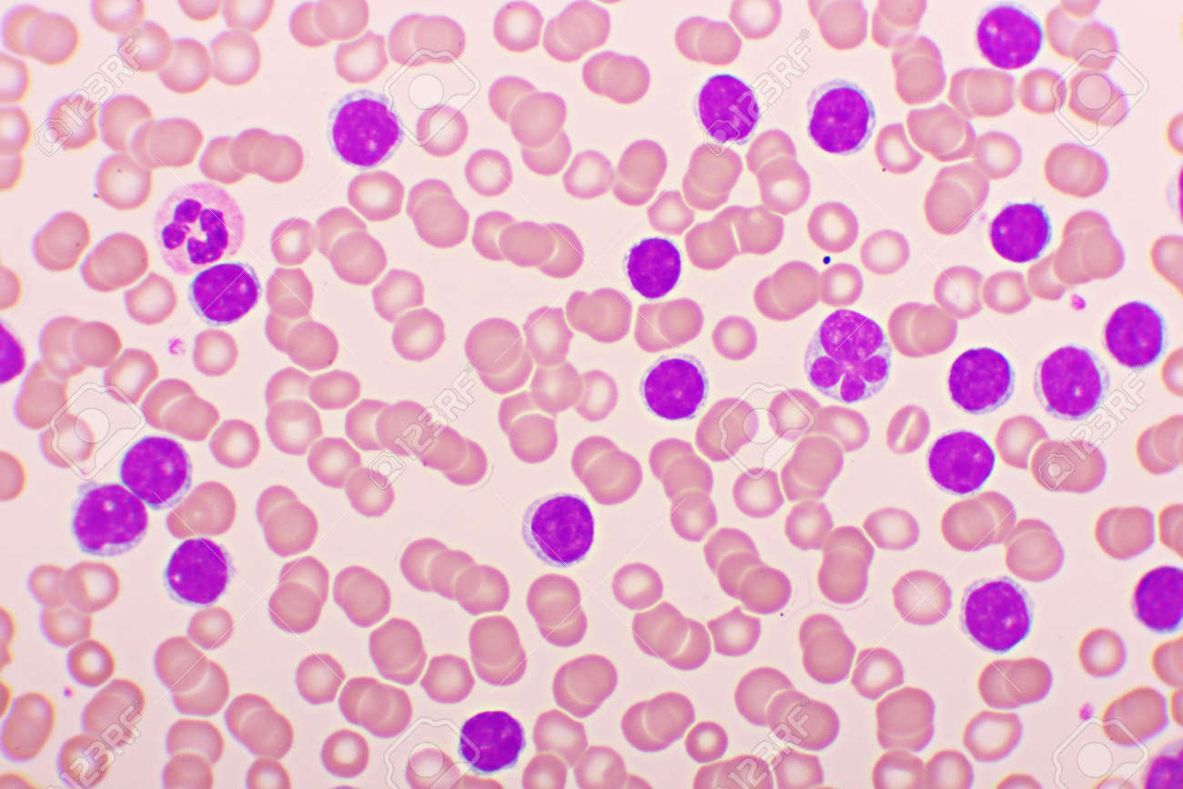
 Seminário de Lâminas em Hematologia - Dias 20 e 21/09 

 

Dr. Adriano Machado de Sousa e Dr Flávio César Lopes Bacha

Especialistas em Hematologia

 

O seminário com leitura de lâminas hematológicas proporciona à você observar na prática a  o que há de mais importante em um esfregaço sanguíneo,  e com o auxílio de profissionais gabaritados, ter a compreensão de da morfologia das células do sangue periférico, desde as características normais das séries vermelha e branca, até as alterações causadas por Anemias, Talassemias, Leucemias Agudas e Crônicas, Linfocitoses Reativas, desvio inflamatório/infeccioso

Serão abordados todas estas patologias com a leitura de lâmina e acompanhamento de casos clínicos.

   Palestra de Abertura - 19 de Setembro(Quinta-Feira) - 20:00h   

HEMATOLOGIA TITÂNICA.jpg

   Palestras - 20 de Setembro(Sexta-Feira)   

PROGRAMAÇÃO 20 DE SETEMBRO.jpg

   Palestras - 21 de Setembro(Sábado)   

PROGRAMAÇÃO 21 DE SETEMBRO.jpg

   Workshops- 20 e 21 de Setembro(Sexta feira e Sábado)   

PROGRAMAÇÃO WORKSHOP 20 DE SETEMBRO.jpg

Programação Provisória, sujeita a alterações